Răng khôn là răng nằm phía trong cùng của hai hàm răng ở người trưởng thành. Loại răng này mọc ở người từ 17 đến 25 tuổi.
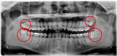
Hàm trên mọc răng khôn khiến anh Hòa bị đau nhức âm ỉ, ăn uống khó khăn, đến bệnh viện kiểm tra bác sĩ phát hiện chiếc răng khôn mọc lệch đâm vào răng bên cạnh. Tại nha khoa Dentel bệnh nhân được can thiệp triệt để nhờ phương pháp nhổ răng khôn không đau.
Hơn 10 ngày trước khi đến phòng khám kiểm tra, anh Nguyễn Văn Hòa (18 tuổi, ngụ tại quận Bình Thạnh, TPHCM) luôn phải chịu những cơn đau buốt ở hàm trên bên trái. Mang những cơn đau của mình trò chuyện với gia đình, anh được mẹ giải thích đó là hiện tượng mọc răng khôn, bà còn vấn an “nó chỉ đau nhức một vài ngày rồi sẽ hết”. Nhưng cả tuần trôi qua song những cơn đau vẫn âm ỉ đến tận tủy xương khiến anh không khỏi lo lắng.

Nhờ sự giới thiệu của bạn bè anh đến nha khoa Dentel kiểm tra. Tại đây, bác sĩ phát hiện chiếc răng khôn mọc lệch đâm vào răng bên cạnh gây tình trạng viêm nhiễm vùng lợi xung quanh. Một tuần sau khi được can thiệp bằng phương pháp nhổ răng không không đau tại Dentel anh đã thoát khỏi những cơn đau.
BS Phạm Việt Hùng cho biết: “Răng khôn là răng nằm phía trong cùng của hai hàm răng ở người trưởng thành. Loại răng này mọc ở người từ 17 đến 25 tuổi. Hàm răng của con người thường chỉ đủ chỗ cho 28 răng (14 răng hàm trên và 14 răng hàm dưới) nhưng trên thực tế mỗi người có tới 32 răng vì mọc thêm 4 răng không ở hai hàm. Chính vì không đủ chỗ để mọc một cách bình thường nên những chiếc răng khôn thường “tự tìm đường khác” như mọc ngược về phía xương hoặc đâm thẳng về phía chiếc răng hàm đứng kế bên.”

Chức năng của răng khôn không rõ ràng, nhưng những “phiền toái” nó gây ra cho “chủ nhân” lại rất khó lường. Có nên nhổ răng khôn hay không đang còn là vấn đề gây tranh cãi, tuy nhiên những trường hợp răng khôn gây ra hoặc có xu hướng gây ra tác hại đối với răng, lợi và xương ở xung quanh thì cần phải nhổ.
Triệu chứng sớm của việc răng khôn mọc lệch thường là những cơn đau âm ỉ. Khi răng khôn mọc đâm sang răng bên cạnh, nó sẽ làm “chiếc răng khỏe mạnh” dần bị tiêu hủy, lung lay có thể dẫn đến sâu, nặng hơn nó sẽ khiến chiếc răng này bị xô đẩy chèn ép và rụng đi.
Do răng khôn ở trong cùng của hàm nên rất khó vệ sinh, thức ăn và vi khuẩn dễ dàng tích tụ. Sự tích tụ lâu ngày gây sâu răng hoặc viêm nhiễm vùng lợi xung quanh dẫn đến sưng, đau, hôi miệng, … Bệnh viêm lợi sẽ tái phát nhiều lần nếu răng khôn không được chữa trị, những lần tái phát sau mức độ nguy hiểm càng cao. Một số truờng hợp khi những bất thường của răng khôn không được chữa trị kịp thời, nhiễm trùng lây lan sang các khu vực xung quanh như mang tai, má, mắt, cổ, ... gây nguy hiểm đến tính mạng.

Người ở độ tuổi 23-25 nếu chưa nhìn thấy răng khôn của mình mọc lên hoặc chỉ nhìn thấy một phần của răng, thì chắc chắn răng khôn đã bị mọc lệch. Tâm lý chung của tất cả mọi người đều rất sợ đau, nhất là khi phải nhổ răng hoặc các phẫu thuật răng miệng. Đau khi nhổ răng có thể là nỗi lo sợ của mọi người khi đến phòng nha khoa.
Những năm gần đây, các phẫu thuật tiểu phẫu nhổ răng khôn đã được hỗ trợ nhiều trang thiết bị phẫu thuật mới giúp bệnh nhân điều trị không bị sang chấn, hiệu quả, lành thương nhanh giúp bệnh nhân vận động sớm hơn, giảm các nguy cơ nhiễm trùng.

GPĐKKD: 0317248017 do Sở KH & ĐT TP. HCM cấp ngày 14/4/2022.
Giấy phép hoạt động khám bệnh, chữa bệnh số: 09033/HCM - GPHĐ do Sở Y Tế TP. HCM cấp ngày 23/01/2024.